尼氏染色【組織病理染色】
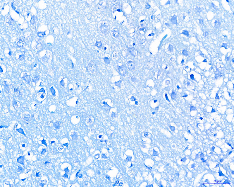
對照組400
給藥組-400
模型組400
相關(guān)標簽:
本文鏈接: http://m.lhzh.com.cn/news/11218.html
本文鏈接: http://m.lhzh.com.cn/news/11218.html
上一篇:MASSON染色【組織病理染色】 下一篇:免疫熒光【組織染色 免疫組化】
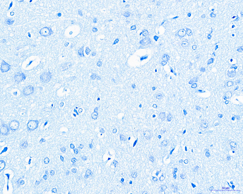
對照組400
給藥組-400
模型組400
